
“医生,怎么听起来这么严重
能治好吗?”
“放心吧,咱医院的隐形矫治技术
绝对能让孩子的牙齿变整齐!”
正畸隐形矫治技术是使用透明的高分子树脂材料制成的活动矫牙装置进行牙齿和颌面部骨骼的矫正治疗,该技术运用了牙颌模型数字化扫描技术、计算机辅助设计技术、光固化快速成形技术以及热压膜成形技术等关键技术,是现代口腔医学和计算机辅助、三维个性化诊断设计及数字化成型技术的完美结合。隐形矫治技术在口腔临床的应用是正畸领域新的技术突破。该技术既达到了矫正牙齿及颌面部骨骼畸形的效果,又极大地满足了更多成人患者以及外地患者对矫治器隐蔽性和便捷性的要求,隐形矫正技术作为一种美观,舒适的新型正畸方式,深受大众青睐。
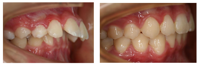
当当当当~
看看咱们的治疗前后对比吧~~


矫治前,上前牙前突,覆盖大;矫治后,上前牙内收

矫治前,下前牙咬伤牙龈,后牙咬合错乱,咀嚼效率低;矫治后,前牙咬合创伤解除,后牙咬合良好,咀嚼效率高
“太好了,我再也不会被嘲笑了”
看到自己的牙齿变整齐
小明脸上露出了久违的笑容
在日常的学习生活中
又恢复了开朗与自信

我院与省级医院同期开展该项技术,对牙、颌面部畸形进行早期颌骨矫形、牙弓塑形、牙齿排齐、导萌建颌等早期干预治疗,降低了严重颌面部骨骼畸形发生率,减少了拔牙矫治机率,治疗效果良好。该技术消除了传统“钢牙套”对美观及口腔卫生等方面的负面影响,减少了远程患者的急诊、复诊次数,扩大了医疗服务半径,就诊患者不仅遍及全国多个省市自治区,还包括旅居美国、加拿大、日本、新加坡等国家的华人患者。














